تهتم الفتيات كثيرا بالعناية بالبشرة حفاظا على جمالها اولا ومخاربة التجاعيد المبكرة التى تهدد نضارة البشرة واشراقتها.
البشرة الدهنية من أنواع البشرة التى تحتاج عناية فائقة لحمايتها من مشاكلها، حيث الحبوب والبثور والبقع نتيجة تراكم الدهون عليها.
الشعر الطويل علامة من علامات الجمال التى تسعى لها الفتيات دائما، لذا تحرص الفتيات طوال الوقت على الحفاظ على طول الشعر.
الهالات السوداء من المشكلات التي تعاني منها الفتيات كثيرًا لأسباب عديدة أبرزها المنبهات والسعر والأرق وكثرة الضغوط ما يؤثر في مظهر الوجه بشكل سلبي.
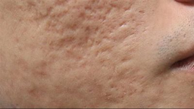
حفر الوجه من المشكلات التى تنتشر بين العديد من الفتيات خاصة أصحاب البشرة الدهنية، ما يؤثر على مظهر البشرة ورونقها،
الشعر الحرير الانسيابى حلم لكثير من الفتيات لأن السعر هو زينة الفتاة ورغم نعومة شعر العديد من الفتيات إلا أن مشاكل الشعر مثل التقصف والهيشان يؤثران على مظهر الشعر .
تقشير البشرة من أهم خطوات العناية بالبشرة التى تحافظ عليها البشرة اسبوعيا حفاظا على جمال البشرة ونضارتها وحمايتها من الحبوب والبثور.
استخدام التونر من الضروريات للعناية بالبشرة حيث يعمل التونر على الحفاظ على البشرة وعدم تفاعلها مع مستحضرات التجميل.
الهالات السوداء شبح يطارد الفتيات كثيرا خاصة فى فصل الصيف والإجازات بسبب السهر ومشاهدة التلفاز والهاتف الالكترونى، مما يؤثر على مظهر الوجه بشكل سلبى.
تفتيح البشرة من الأمور التي تهتم بها الفتيات كثيرا للحصول على مظهر مميز وجذاب خاصة فى فصل الصيف حيث يتغير لون البشرة نتيجة سطوع الشمس وارتفاع درجات الحرارة.
فى فصل الصيف ترتفع درجات حرارة الطقس كثيرا وتسطع الشمس لفترات طويلة من اليوم ما يؤثر على مظهر البشرة ولونها ونضارتها.
جمال البشرة فى نضارتها وعدم وجود أى مشكلات بها، وهذا لن يتحقق إلا بالعناية الفائقة بالبشرة حيث تنظيفها وترطيبها يوميا.
جلسات تنظيف البشرة تعمل على تنظيف البشرة بعمق وإزالة الدهون من مسام البشرة التى تسبب ظهورمشاكل البشرة، لذا تحرص الفتيات على الخضوع لها رغم أسعارها الخيالية.
استخدام الغسول الخاص بالبشرة يوميا من أهم خطوات العناية بالبشرة لتنظيف البشرةوحمايتها من أى مشاكل تؤثر على لونها ونضارتها، لذا تحرص الفتيات على العناية بتنظيف البشرة يوميا.
فترة المصيف رغم أنها ممتعة إلا أنها ترهق البشرة كثيرا وتسبب إرهاقها نتيجة التعرض لماء البحر والشمس ما يؤثر على مظهر البشرة ونضارتها.