نقاء البشرة وجمالها علامة من علامات الجمال المميزة التى تحرص الفتيات دائما عليها لمظهر جذاب ومميز وأكثر إشراقة.
الهالات السوداء والتجاعيد والخطوط الرفيعة جميعها مشكلات تعانى منها الفتيات مايؤقر على مظهرهن بشكل سلبي
تقشير البشرة من روتين العناية بالبشرة الأسبوعية الذى يجب الإهتمام بتطبيقه مرة أسبوعيًّا على الأقل للحفاظ على نظافة مسام البشرة.
نضارة وشباب البشرة جزء أساسي من جمالها،ولذا تحرص الفتيات على العناية بها حفاظا على نضارة وشباب البشرة ما يزيد من جمالهن.
البشرة العادية تعتبر من أفضل أنواع البشرة لأنها لأن مشاكلها قليلة ولا تحتاج سوى العناية اليومية والتقدير الاسبوعى حفاظا على جمالها.
تنعيم ونضارة البشرة من الأمور التي تزيد من جمالها وكلما كانت البشرة خالية من الرؤوس السوداء والحبوب كلما كانت جميلة وأكثر إشراقة.
تحتاج البشرة الجافة إلى عناية جيدة تحافظ على رطوبتها وتحميها من الجفالي والتشققات التى تعجل بظهور التجاعيد بها.
شد البشرة من الأمور التي تحرص عليها السيدات كثيرًا عقب عمر الأربعين لمحاربة التجاعيد المبكرة التي تؤثر في مظهر وشباب البشرة.
مع اقتراب انتهاء فصل الصيف تحرص الفتيات على تفتيح البشرة للتخلص من الاسمرار الناجم عن آشعة الشمس وارتفاع حرارة الطقس.
تحتاج البشرة إلى التنظيف العميق الذى يساعد على تنقية المسام من الشوائب ما يحميها من الحبوب والبثور السوداء والتجاعيد المبكرة.
حب الشباب من المشكلات التى تعانى منها العديد من الفتيات خاصة صاحبات البشرة الدهنية ما يؤثر على مظهر البشرة بشكل سلبى.
إشراقة البشرة ونعومتها يزيد من نضارتها ماينغمس بشكل إيجابي على صاحبتها لذا تحرص الفتيات كثيرا على العناية بالبشرة للحصول على بشرة مشرقة وناعمة.
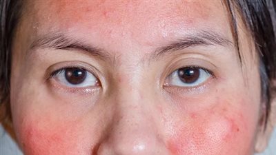
التهابات البشرة واحمرارها دائما تكون مزعجة لأنها تسبب آلام مزعجة بالبشرة ويجب علاجها بعناية حتى لا تسبب آثار بالبشرة مثل البقع.
التجاعيد تظهر بالبشرة مع التقدم بالعمر وكلما كانت الفتاة تهمل العناية بالبشرة كلما كان ظهور التجاعيد أسرع وبشكل كبير لذا يجب الحذر.
تهتم الفتيات كثيرا بتفتيح البشرة فى فصل الصيف للتخلص من آثار الشمس والحرارة على البشرة، وذلك للحصول على مظهر مميز وأكثر نضارة للبشرة .