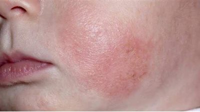
تعرف على مرض الصدفية وأعراضها
3eكشف اطباء امراض الجلدية أن الصدفية أحد أمراض المناعة الذاتية، و مرض مزمن يمثل عبء علي صاحبه اجتماعيا و ماديا وصحيا ونفسيا ويصيب المرض من ١ الى ٣ ٪ من البشر حسب الاحصائيات العالمية ، وهو مرض غير معدي، ولكنه يورث للأبناء فإذا كان أحد الأبوين مصاب بالصدفية فإن احتمال إصابة