استخراج مسمار طوله 6 سنتيمترات ابتلعته طفلة دون أي مضاعفات في بنها
كشف الدكتور هيثم نصر، استشاري جراحة الأنف والأذن بمستشفى الأطفال التخصصي ببنها، عن تفاصيل واحدة من أغرب الحالات الطبية، لطفلة تبلغ من العمر عامًا ونصف العام ابتلعت مسمارًا بطول 6 سنتيمترات دون أن تظهر عليها أي أعراض أو مضاعفات خطيرة.
معجزة طبية في بنها.. استخراج مسمار بطول 6 سنتيمترات من طفلة دون أي مضاعفات

وأوضح الدكتور هيثم استشاري جراحة الأنف والأذن بمستشفى الأطفال التخصصي ببنها، الطفلة كانت تلعب بمسمارين داخل المنزل، وعندما لاحظت والدتها اختفاء أحدهما بدأت في البحث عنه، فوجدت مسمارًا واحدًا فقط، بينما اختفى الآخر تمامًا، فقررت الذهاب إلى المستشفى للاطمئنان على ابنتها.

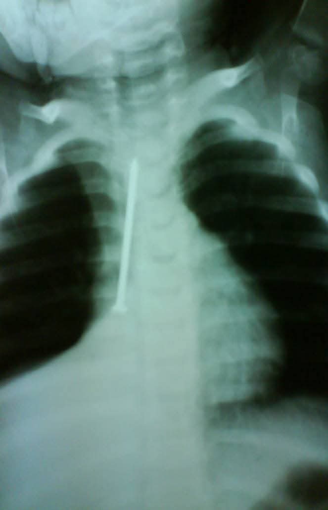
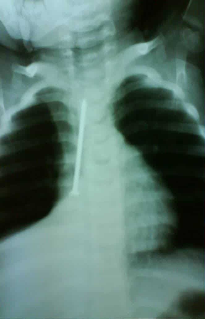
وأضاف قائلًا: "كانت الطفلة في حالة طبيعية تمامًا، تتنفس بشكل جيد ولا تعاني من أي صعوبة في البلع، لكن أمام إصرار الأم على أنها بحثت جيدًا في المنزل، قررت إجراء أشعة على صدر الطفلة، لتظهر المفاجأة الصادمة: مسمار طويل يمتد بطول القفص الصدري تقريبًا."



وأشار إلى أنه تم إدخال الطفلة إلى غرفة العمليات على الفور، وتمكن الفريق الطبي من استخراج المسمار بنجاح، دون حدوث أي إصابة أو مضاعفات.
واختتم الدكتور هيثم نصر استشاري جراحة الأنف والأذن بمستشفى الأطفال التخصصي ببنها، حديثه قائلًا "المحير في الأمر هو كيف تمكنت الطفلة من إدخال المسمار عبر الفم والبلعوم والحنجرة والقصبة الهوائية دون حدوث جرح أو اختناق، فلكي يمر جسم بهذا الطول، يجب أن تكون هذه الأجزاء جميعها على خط واحد، وأن تبقى الأحبال الصوتية مفتوحة طوال الوقت. إنها بالفعل قدرة إلهية ومعجزة تستحق التأمل.. سبحان الله."
ونقدم لكم من خلال موقع (فيتو)، تغطية ورصدًا مستمرًّا على مدار الـ 24 ساعة لـ أسعار الذهب، أسعار اللحوم ، أسعار الدولار ، أسعار اليورو ، أسعار العملات ، أخبار الرياضة ، أخبار مصر، أخبار اقتصاد ، أخبار المحافظات ، أخبار السياسة، أخبار الحوداث ، ويقوم فريقنا بمتابعة حصرية لجميع الدوريات العالمية مثل الدوري الإنجليزي ، الدوري الإيطالي ، الدوري المصري، دوري أبطال أوروبا ، دوري أبطال أفريقيا ، دوري أبطال آسيا ، والأحداث الهامة و السياسة الخارجية والداخلية بالإضافة للنقل الحصري لـ أخبار الفن والعديد من الأنشطة الثقافية والأدبية.
تابع موقع فيتو عبر قناة (يوتيوب) اضغط هــــــــــــنا
تابع موقع فيتو عبر قناة (واتساب) اضغط هــــــــــــنا
تابع موقع فيتو عبر تطبيق (نبض) اضغط هــــــــــنا
تابع موقع فيتو عبر تطبيق (جوجل نيوز) اضغط هــــــــنا



