بدون ليزر، تخلصي من الندبات والبقع بالبشرة في خطوات بسيطة
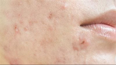
تعاني كثير من الفتيات من ظهور الندبات والبقع الداكنة الناتجة عن حب الشباب أو الجروح أو التعرض المستمر لأشعة الشمس، مما يؤثر على نضارة البشرة ومظهرها العام.
ورغم أن تقنية الليزر تعتبر من أشهر العلاجات الحديثة لهذه المشكلات، إلا أنها ليست الخيار الوحيد، فهناك طرق طبيعية وطبية آمنة يمكنك من خلالها استعادة صفاء بشرتك بدون اللجوء إلى الليزر، فقط بخطوات بسيطة ومنتظمة.
أسباب الندبات والبقع
وتقول نادية محمد خبيرة التجميل: قبل البدء في العلاج، من المهم معرفة الأسباب الأساسية للندبات والبقع لتجنب ظهورها مرة أخرى، ومن أسباب الندبات والبقع بالبشرة:-
- حب الشباب الذي يترك خلفه آثارًا بنية أو حمراء بعد الالتئام.
- التعرض المفرط للشمس من دون واقي مناسب، مما يؤدي لتصبغات جلدية.
- الالتهابات أو الجروح الجلدية التي لا تعالج بشكل سليم.
- التقشير العنيف للبشرة أو استخدام منتجات قوية تهيّج الجلد.

خطوات بسيطة للتخلص من الندبات والبقع بدون ليزر
وأضافت نادية، أن من طرق التخلص من الندبات والبقع بالبشرة:-
- التقشير المنتظم بلطف، والتقشير يساعد على إزالة الخلايا الميتة وتحفيز نمو خلايا جديدة نضرة، ولذا استخدمي مقشر طبيعي مرتين أسبوعا مثل سكر بني مع عسل وزيت زيتون، أو مسحوق الشوفان مع الزبادي والعسل، واحرصي على التدليك بلطف لتجنب تهيج الجلد، ثم اغسلي الوجه بالماء الفاتر.
- استخدام سيروم فيتامين C، ويعد فيتامين C من أقوى مضادات الأكسدة التي تساعد على تفتيح البقع وتوحيد لون البشرة، استخدميه يوميا في الصباح قبل وضع واقي الشمس، اختاري تركيز بين 10% و20% للحصول على نتائج ملحوظة خلال أسابيع قليلة.
- الاعتماد على الزيوت الطبيعية المجددة للبشرة، وبعض الزيوت تمتلك خصائص علاجية تعيد بناء الأنسجة وتقلل من مظهر الندبات، مثل زيت الورد، وزيت فيتامين E، وزيت اللوز الحلو، حيث ضعي بضع قطرات على الندبات ليلا ودلكي برفق حتى تمتصه البشرة.
- استخدام ماسكات طبيعية فعال، يمكنك الاعتماد على مكونات بسيطة في المنزل تساعد على تفتيح البشرة وتجديدها، مثل ماسك العسل والليمون، وماسك الكركم والزبادي، وماسك جل الألوفيرا.
- تطبيق واقي الشمس يوميا، ومن أهم الخطوات لحماية البشرة من تكون بقع جديدة أو زيادة التصبغات، لذا استخدمي واقي بعامل حماية لا يقل عن SPF 30، وأعيدي تطبيقه كل ساعتين عند الخروج في النهار.
- اتباع نظام غذائي صحي، والجمال يبدأ من الداخل، لذلك احرصي على تناول أطعمة غنية بـ فيتامين C وE والزنك مثل الفواكه الحمضية والمكسرات والخضروات الورقية، وشرب كمية كافية من الماء يوميا للحفاظ على ترطيب البشرة.
ونقدم لكم من خلال موقع (فيتو)، تغطية ورصدًا مستمرًّا على مدار الـ 24 ساعة لـ أسعار الذهب، أسعار اللحوم ، أسعار الدولار ، أسعار اليورو ، أسعار العملات ، أخبار الرياضة ، أخبار مصر، أخبار اقتصاد ، أخبار المحافظات ، أخبار السياسة، أخبار الحوداث ، ويقوم فريقنا بمتابعة حصرية لجميع الدوريات العالمية مثل الدوري الإنجليزي ، الدوري الإيطالي ، الدوري المصري، دوري أبطال أوروبا ، دوري أبطال أفريقيا ، دوري أبطال آسيا ، والأحداث الهامة و السياسة الخارجية والداخلية بالإضافة للنقل الحصري لـ أخبار الفن والعديد من الأنشطة الثقافية والأدبية.
تابع موقع فيتو عبر قناة (يوتيوب) اضغط هــــــــــــنا
تابع موقع فيتو عبر قناة (واتساب) اضغط هــــــــــــنا
تابع موقع فيتو عبر تطبيق (نبض) اضغط هــــــــــنا
تابع موقع فيتو عبر تطبيق (جوجل نيوز) اضغط هــــــــنا



