صدق أو لا تصدق.. دراسة: كورونا يصيب بـ"جنون العظمة".. وهذه الفئة أكثر عرضة
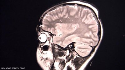
وجد باحثون أميركيون أن 3 مراهقين أصيبوا بأعراض نفسية نتيجة لعدوى "كوفيد-19" التي طالتهم، ورغم أن هذه الآثار تبدو نادرة، إلا أنها تدق ناقوس الخطر فهي سجلت في فئة يعتقد أنها في منأى عن الوباء. وأجرى باحثون في جامعة كاليفورنيا دراسات حالة على المراهقين الثلاثة لفحص كيفية حدوث هذه الأعراض.