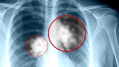
الجمعية الأمريكية لأبحاث السرطان تتوصل لأحدث دواء لأورام الرئة
توصلت دراسة جديدة تم عرضها في اجتماع الجمعية الأمريكية لأبحاث السرطان في شيكاغو، إلى دواء جديد يعمل على دعم الجهاز المناعي، مما يساعد في إطالة عمر المرضى المصابين بسرطان الرئة في الحالات المتقدمة عند ...