الأشعة المقطعية تكشف حقيقة مومياء المرأة الصارخة: الأميرة ماتت بنوبة قلبية منذ ٣٠٠٠ عام
تمكن الدكتور زاهي حواس، عالم الآثار الشهير، ووزير الآثار الأسبق، والدكتورة سحر سليم، أستاذ الأشعة بجامعة القاهرة والمتخصصة في أشعة الآثار، من حل لغز ”مومياء المرأة الصارخة” من الخبيئة الملكية في الدير البحري، وذلك في الدراسة التي نشرت حديثا في إحدى المجلات العلمية الدولية.
وكشف البحث الذي أجراه العالمان المصرييان باستخدام جهاز الأشعة المقطعية عن تصلب شديد في شرايين القلب التاجية أدى إلى موت الأميرة المصرية فجأة بنوبة قلبية.. ولقد حفظ التحنيط المصري القديم وضعية الجسد لحظة الوفاة لقرابة الثلاثة آلاف عام، وهذه هي القصة كاملة.
وفي عام 1881 تم اكتشاف خبيئة الدير البحري الملكية في الأقصر، حيث قام كهنة الأسرتين ٢١ و٢٢ بإخفاء أعضاء ملكيين من أسر سابقة لحمايتهم من لصوص القبور.
واحتوت خبيئة الدير البحري الملكية على "مومياء الرجل الصارخ" والتي أثبتت الدراسات الحديثة بالأشعة المقطعية والـ DNA التى قام بإجرائها الدكتور زاهى حواس والفريق العلمي للمشروع المصري للمومياء Egyptian Mummy Project على أن "مومياء الرجل الصارخ" هو الأمير بنتاؤر Pentawere ابن الملك رمسيس الثالث والذى أُجبر على الانتحار شنقا عقابا له على تورطه في قتل ابيه الملك رمسيس الثالث في ما يعرف بمؤامرة الحريم، وتم عقاب الابن القاتل بعدم تحنيط جثته ولفها بجلد الغنم؛ مما يشير إلى أنه اُعتبِرَ (نَجِسًا) وليكون مصيره الجحيم فى الآخرة، وذلك في الوقت الذي كانت فيه المومياوات الأخريات ملفوفةً بالكِتان الأبيض ومُحنَّطةً بعناية.
كما احتوت نفس الخبيئة الملكية في الدير البحري على مومياء لامرأة تظهر على وجهها علامات الرعب والألم والصراخ، وعرفت بـ ”مومياء المرأة الصارخة”؛ فرأسها مائل إلى الجانب الأيمن وساقاها مثنية وملتفة عند الكاحل، في الوقت الذي كانت فيه المومياوات الأخريات مغلقة الفم ومستلقية مستقيمة الجسد.
فما حقيقة ”مومياء المرأة الصارخة”؟ وكيف ماتت ؟ ولماذا تم حفظها بشكلٍ مُختلفٍ لم يُر من قبل؟ وهل لاقت مومياء المرأة الصارخة نفس مصير بنتاور فتم عقابها بالموت ولم تحنط بالطريقة الملكية كباقي الأميرات؟!
ولحل هذا اللغز، قام الدكتور زاهى حواس والدكتورة سحر سليم بدراسة ”مومياء المرأة الصارخة”، وفحصها على جهاز الأشعة المقطعية سيمنز والموجود في المتحف المصري بالقاهرة.
من هي صاحبة مومياء المرأة الصارخة؟
تشير الكتابات باللغة الهيراطيقية على لفائف الكتان حول مومياء المرأة الصارخة إلى أنها: "الابنة الملكية، الأخت الملكية ميريت آمون”.
ومع ذلك، اعتبرت المومياء غير معروفة فسميت بـ "مومياء المرأة غير المعروفة”، حيث كان هناك العديد من الأميرات بنفس الاسم، على سبيل المثال ميريت آمون ابنة الملك سقنن رع من نهاية الأسرة السابعة عشر 1558- 1553 قبل الميلاد)، وكذلك ميريت امون ابنة الملك رمسيس الثاني (1279-1213 قبل الميلاد) من الأسرة التاسعة عشرة.
وتشير نتائج تصوير الأشعة المقطعية CT scan التي أجراها الدكتور زاهى حواس والدكتورة سحر سليم أن مومياء المرأة الصارخة هي لسيدة ماتت في العقد السادس من العمر، وأن جثمانها (وعلى العكس من بنتاؤر Pentawere) قد نال عناية بالغة من المحنطًين الذين أزالوا الأحشاء، ووضعوا مواد باهظة الثمن مثل الراتنج والحنوط المعطرة في تجويف الجسم، واستخدموا الكتان الطاهر في لف المومياء، وبالتالي فإننا نفترض أن ظروف وفاة "مومياء المرأة غير المعروفه إىه” كانت مختلفة عن حالة بنتاؤر، أو "مومياء الرجل الصارخ”.. فلماذا لم يتمكن المحنطون من وضع جسد الأميرة في حالة الاستلقاء؟! ولماذا لم يتمكنوا من تأمين غلق الفم.. كما كان المعتاد مع باقي المومياوات الملكية.؟! ما الذي حدث فمنع المحنطين من إتمام مهمتهم؟!
تشير نتائج التصوير المقطعي المحوسب إلى أن "مومياء المرأة غير المعروفه إىه” كانت مصابة بمرض تصلب الشرايين شديد الدرجة والذي اصاب العديد من شرايين الجسد، ومرض تصلب الشرايين هو مرض تنكسي يصيب جدار الشرايين بشكل تدريجي؛ مما يؤدي إلى ضيق في تجويف الوعاء الدموي وانسداده ويتم تحديد أماكن تصلب الشرايين في فحص الأشعة المقطعية كمناطق عالية التكلس داخل جدران الشرايين والتي يمكن التعرف عليها حسب مكان الشريان.
وأسفرت الدراسات السابقة التي قام بها الدكتور زاهى حواس والدكتورة سحر سليم على المومياوات الملكية المصرية القديمة عن وجود تصلب الشرايين في البعض منها.. ولقد عرف الطب المصري القديم “النوبة القلبية" وربطها بالموت فوصفت بردية الطب المصري القديم المعروفة بـ "ايبرز Ebers" مخاطبة الطبيب منذ أكثر من ٣٥٠٠ سنة: ”عندما تفحص رجلاً يعاني من آلام في معدته، ويعاني من آلام في ذراعه وصدره فهذا هو مرض (واد WAD) المرادف للنوبة القلبية). ويجب أن تقول له إن الموت يقترب منه".
فأثبت فحص الأشعة المقطعية لـ ”مومياء المرأة غير المعروفه إىه” أنها عانت من تصلب في شرايين القلب التاجية الأيمن والأيسر وكذلك شرايين الرقبة وشريان الأبهر البطني والحرقفي، وكذلك شرايين الطرفيين السفليين والساقين.



وأثبتت العديد من الدراسات السريرية في الوقت الحاضر أن مرض تصلب الشريان التاجي للقلب يعد السبب الرئيسي للوفاة المفاجئة لدى البالغين.
و يوصي الطب الحديث في مثل هذه الحالة الطبية الخطيرة المماثلة لحالة مومياء المرأة الصارخة إلى إعطاء الأدوية التي تذيب جلطات الأوعية الدموية وربما قسطرة قلبية وذلك لمنع أو الحد من تلف عضلة القلب.
وتفترض الدراسة التي اجراها زاهي حواس وسحر سليم أن جلطة الأوعية التاجية لـ ”مومياء المرأة غير المعروفه إىه” سببت تلف عضلة القلب مما أدى إلى موتها الفجائي.
وتفترض هذه الدراسة ان الأميرة ماتت فجأة بنوبة قلبية وهي على وضع الجسد الحالي؛ ساقاها مثنية وملتفة عند الكاحل. وتسبب الموت في ميل الرأس إلى الجانب الأيمن وارتخاء عضلات الفك مما أدى إلى فتح الفم.
وتشير الدلائل إلى أن المتوفاة ظلت لفترة كافية لعدة ساعات على هذه الوضعية قبل ان يتم اكتشاف الجثمان فأدى التشنج الذي يعقب الموت الى تيبس العضلات و المفاصل و أبقاء مومياء الأميرة على وضعية الوفاة هذه فلم يتمكن المحنطون من تأمين أغلاق الفم أو وضع الجسد في حالة الاستلقاء كما كان المعتاد مع باقي المومياوات فيبدو انه لم يهمل المحنطون عملهم عن عمد و لكن ظروف الوفاة أدت لوضعية المومياء هذه و الغير معتادة.
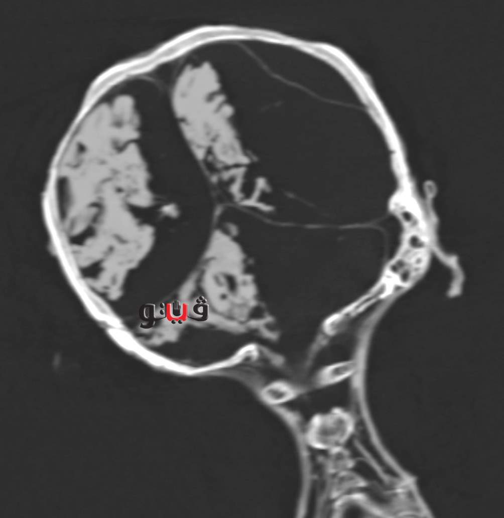
وأظهرت صور فحص الأشعة المقطعية ان المحنطين لم يستخرجوا مخ المومياء حيث لا يزال يرى المخ بداخل تجويف الجمجمة و لكنه يميل إلى الجانب الأيمن و ذلك لوضعية الجسد على هذا الجانب عند الموت و بعد التحنيط. 



و ساعدت الدراسات السابقة التي قام بها الدكتور زاهي حواس و الدكتورة سحر سليم على المومياوات الملكية باستخدام الأشعة المقطعية على تحديد ملامح التحنيط في الأسر المختلفة.
و ترجح هذه الدراسة من خلال ملاحظة خصائص طريقة تحنيط ”مومياء المرأة الصارخة” مثل عدم استخراج المخ انها قد تكون ميريت امون ابنة الملك سقنن رع من نهاية الأسرة السابعة عشر 1558- 1553 قبل الميلاد و ليست ابنة الملك رمسيس الثاني (1279-1213 قبل الميلاد) من الأسرة التاسعة عشرة.
وسيستكمل حواس مع سحر سليم وبقية الفريق العلمي مشروع المومياء المصري و عمل فحوصات الـ DNA على مومياء المرأة الصارخة مما قد يساعد على تـأكيد هويتهـا.
