فريق طبي بجامعة أسيوط ينجح في استخراج مقذوف ناري من رئة فتاة بالمنظار
تمكن فريق طبي بمستشفى القلب بجامعة أسيوط من استخراج مقذوف ناري مستقر في أغشية الرئة لفتاة عشرينية، وذلك باستخدام تقنية منظار الصدر الجراحي المتطورة وذلك في إنجاز طبي يعد الأول من نوعه في صعيد مصر.

جاء ذلك تحت رعاية الدكتور أحمد المنشاوي رئيس الجامعة، الدكتور علاء عطية عميد كلية الطب ورئيس مجلس إدارة المستشفيات الجامعية، الدكتور محمد عبد الحميد مدير مستشفى الإصابات، الدكتور محمد عياد رئيس قسم جراحة القلب والصدر ومدير مستشفى القلب.
إصابة فتاة بمقذوف ناري في منطقة الصدر
كان مستشفى الإصابات قد استقبل المستشفى فتاة في العقد الثاني من عمرها، وتعاني من إصابة ناتجة عن مقذوف ناري في منطقة الصدر.

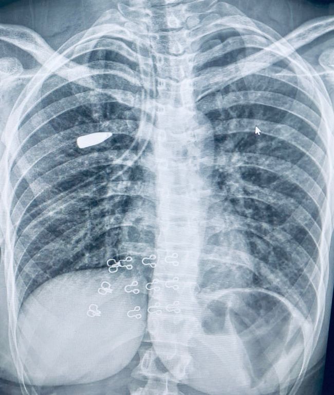
وعلى الفور، قام الفريق الطبي بإجراء الفحوصات والإجراءات اللازمة، والتي كشفت عن استقرار المقذوف الناري داخل أنسجة الرئة اليمنى.
ليتم التنسيق مع مستشفى القلب الجامعي، ويتم تشكيل فريق طبي تحت إشراف الدكتور محمد عياد، وبرئاسة الدكتور محمد فاروق عبد الحافظ، مدرس جراحة القلب والصدر، وضم كل من، الطبيب علي زين، مدرس مساعد بالقسم، والطبيب محمد ببلاوي، والطبيب مروان أحمد، أطباء مقيمين بالقسم، يعاونه فريق طبي من قسم التخدير والرعاية المركزة تحت إشراف الأستاذة الدكتورة هالة سعد رئيس القسم، وضم كل من الدكتور عبد الرحمن حمدي، مدرس التخدير والرعاية المركزة، والطبيب أحمد وهبه مدرس مساعد بالقسم، بينما ضم الطاقم التمريض الجراحي المتميز كل من، أخصائي تمريض كيرلس جمال، وفني تمريض خالد مصطفى، وفني تمريض هند عبد المنعم.
وتم مناظرة دقيقة للحالة وإجراء الأشعات اللازمة التي أكدت استقرار المقذوف بين أغشية الرئة، ليقوم الفريق الطبي بإجراء جراحة دقيقة للغاية، وتم استخراج المقذوف الناري بنجاح باستخدام منظار الصدر الجراحي من خلال فتحة جراحية لا تتعدى 2 سم، مما ساهم في الحفاظ على سلامة الرئة وتقليل التلف إلى أدنى حد، بالإضافة إلى الحفاظ على الشكل الجمالي لجدار الصدر.
وقد تكللت العملية بالنجاح التام، وشهدت حالة الفتاة تحسنًا ملحوظًا، حيث تم السماح لها بمغادرة المستشفى بعد 48 ساعة فقط من إجراء الجراحة وهي في حالة صحية جيدة.
ونقدم لكم من خلال موقع (فيتو)، تغطية ورصدًا مستمرًّا على مدار الـ 24 ساعة لـ أسعار الذهب، أسعار اللحوم ، أسعار الدولار ، أسعار اليورو ، أسعار العملات ، أخبار الرياضة ، أخبار مصر، أخبار اقتصاد ، أخبار المحافظات ، أخبار السياسة، أخبار الحوداث ، ويقوم فريقنا بمتابعة حصرية لجميع الدوريات العالمية مثل الدوري الإنجليزي ، الدوري الإيطالي ، الدوري المصري، دوري أبطال أوروبا ، دوري أبطال أفريقيا ، دوري أبطال آسيا ، والأحداث الهامة و السياسة الخارجية والداخلية بالإضافة للنقل الحصري لـ أخبار الفن والعديد من الأنشطة الثقافية والأدبية.
تابع موقع فيتو عبر قناة (يوتيوب) اضغط هــــــــــــنا
تابع موقع فيتو عبر قناة (واتساب) اضغط هــــــــــــنا
تابع موقع فيتو عبر تطبيق (نبض) اضغط هــــــــــنا
تابع موقع فيتو عبر تطبيق (جوجل نيوز) اضغط هــــــــنا
