قالت السلطات الأمريكية إن امرأة سلمت صديقها السابق إلى مكتب التحقيقات الفيدرالي بعد أن أخذ استراحة خلال أعمال الشغب في الكابيتول الشهر الماضي لتوبيخها في رسالة نصية.
اكتشفت السلطات الأمريكية أن رجلا اعتكف في مطار شيكاغو الدولي لمدة ثلاثة أشهر خوفا من تفشي وباء كورونا.
ألقت الشرطة في الولايات المتحدة القبض على مواطن من كاليفورنيا عاش في مطار شيكاغو لمدة ثلاثة أشهر خوفا من فيروس كورونا.
شهدت ولاية أريزونا الأمريكية إطلاق نار وسقوط عدد من الضحايا
أفادت وسائل إعلام أمريكية اليوم الأحد بمقتل 5 أشخاص على الأقل وإصابة 2 آخرين بعد حادث إطلاق نار امتد من شيكاغو إلى إيفانستون أمس السبت في الولايات المتحدة الأمريكية.
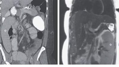
نشر موقع "Live Science" قائمة لأغرب الحالة الطبية الفردية التي تم اكتشافها في عام 2020 بغرض مساعدة الأطباء في فهم المزيد عن الأمراض النادرة بشكل أفضل أو اكتشاف العلامات غير العادية للحالات الشائعة.
يبلغ ارتفاع برج ترامب في وسط مدينة إلينوي بشيكاغو حوالي 423 مترا وتقدر قيمته بـ 847 مليون دولار، وتم الانتهاء منه في عام 2009.
علق الرئيس الأمريكي دونالد ترامب على اتهامات الديمقراطيين الذين وصفوه بالزعيم الفوضوي غير الأمين.
اندلعت الاضطرابات والعنف في وسط مدينة شيكاغو الأمريكية اليوم الإثنين على خلفية التوتر المتصاعد في عدد من الأحياء في أنحاء المدينـ ....
أصيب 11 شخصا على الأقل جراء إطلاق نار في ولاية شيكاغو الأمريكية، حسبما أفادت الشرطة
قال الرئيس الأمريكي دونالد ترامب اليوم الإثنين أن الوضع الأمني في مدينة شيكاغو الأمريكية أسوأ من الأوضاع في أفغانستان، في إشارة إلى أعمال الـ ....
حكمت السلطات في ولاية شيكاغو الأمريكية بسجن رجل 15 عاماً بعد إدانته في حادثة إطلاق نار على قبر مفتوح لطالب توفي في جريـ ..
أعلنت الشرطة الأمريكية عن مقتل 4 أشخاص جراء إطلاق نار على أيدي مسلحين مجهولين ليلة السبت وسط مدينة شيكاغو بولاية إيلينوي.
قتل رضيع يبلغ عاما وجرحت والدته في إطلاق نار في شيكاغو، خلف صدمة لدى السلطات رغم اعتيادها على تفشي العنف المسلح في ثالث أكبر المدن الأمريكية.
من بين العقارات المضادة لفيروس كورونا المتوقع ظهورها خلال الفترة المقبلة عقار يدعى Remdesivir المضاد للفيروسات