طب الأزهر بدمياط تنجح في إجراء عملية نادرة عالميا لطفل عمره 3 سنوات (صور)
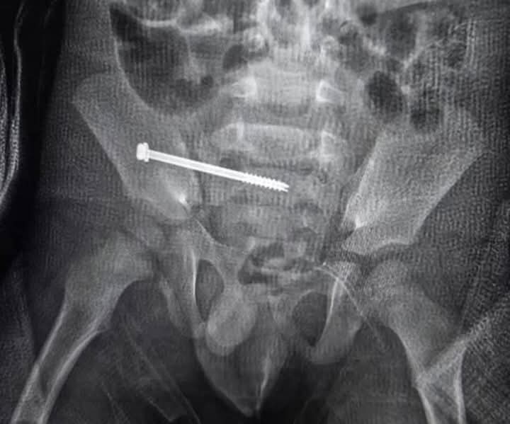
أكَّد الدكتور سمير الشورى، رئيس قسم جراحة العظام بكلية طب بنين جامعة الأزهر بدمياط، أن فريقًا طبيًّا من القسم نجح — بفضل الله — في إجراء عملية نادرة على مستوى العالم، تمثَّلت في تثبيت كسر مع خلع عمودي ما بين الحوض والعمود الفقري لطفل يبلغ من العمر ثلاث سنوات، نتيجة حادث دراجة بخارية.
طب الأزهر بدمياط تنجح في إجراء عمليَّة نادرة عالميًّا لطفل عمره ثلاث سنوات
وأوضح الدكتور الشورى أن العملية أُجْريت دون فتح جراحي، باستخدام مسمار تثبيت بين الحوض والعمود الفقري، وهي تقنية دقيقة للغاية تتطلب مهارة عالية وخبرة متقدمة، وقد أُجريت العملية بنجاح على أيدي فريق طبيٍّ متميز بقيادة الدكتور عثمان الشَّريف، أستاذ جراحة العظام بالقسم، وبمشاركة نخبة من أعضاء هيئة التدريس والهيئة المعاونة بالقسم.

وأشار الدكتور الشورى إلى أن هذه العملية تأتي بدعمٍ من الدكتور راشد محمد راشد، عميد الكلية، والدكتور عصام طمان، وكيل الكلية للدراسات العليا والبحوث، والدكتور فتحي حمزة سلامة، وكيل الكلية لشئون التعليم والطلاب وأستاذ العظام، والدكتور عادل دياب، مدير عام مستشفى الأزهر الجامعي بدمياط، في إطار سعي الكلية والمستشفى لتقديم خدمة طبية متميزة ومواكبة أحدث ما وصل إليه العلم في مجال جراحات العظام.

وأوضح رئيس القسم أن قسم جراحة العظام بالمستشفى الجامعي يتحمَّل العبءَ الأكبر في استقبال حالات حوادث الطرق والدراجات البخارية؛ لقرب المستشفى من الطريق الدولي الساحلي، وانتشار حوادث السير نتيجة تهوُّر بعض سائقي الدراجات البخاريَّة في القيادة.

واختتم الدكتور الشورى تصريحاته بتأكيد أن هذا الإنجاز يمثِّلُ خطوة نوعية في مجال جراحات العمود الفقري للأطفال، ويُعدُّ تتويجًا لجهود القسم في توفير الرعاية الطبية المتقدمة للمواطنين بمحافظة دمياط والمحافظات المجاورة.
ونقدم لكم من خلال موقع (فيتو)، تغطية ورصدًا مستمرًّا على مدار الـ 24 ساعة لـ أسعار الذهب، أسعار اللحوم ، أسعار الدولار ، أسعار اليورو ، أسعار العملات ، أخبار الرياضة ، أخبار مصر، أخبار اقتصاد ، أخبار المحافظات ، أخبار السياسة، أخبار الحوداث ، ويقوم فريقنا بمتابعة حصرية لجميع الدوريات العالمية مثل الدوري الإنجليزي ، الدوري الإيطالي ، الدوري المصري، دوري أبطال أوروبا ، دوري أبطال أفريقيا ، دوري أبطال آسيا ، والأحداث الهامة و السياسة الخارجية والداخلية بالإضافة للنقل الحصري لـ أخبار الفن والعديد من الأنشطة الثقافية والأدبية.
تابع موقع فيتو عبر قناة (يوتيوب) اضغط هــــــــــــنا
تابع موقع فيتو عبر قناة (واتساب) اضغط هــــــــــــنا
تابع موقع فيتو عبر تطبيق (نبض) اضغط هــــــــــنا
تابع موقع فيتو عبر تطبيق (جوجل نيوز) اضغط هــــــــنا
