مستشفى مصر للطيران تجري عملية إصلاح انشطار بالشريان الأورطي الصدري
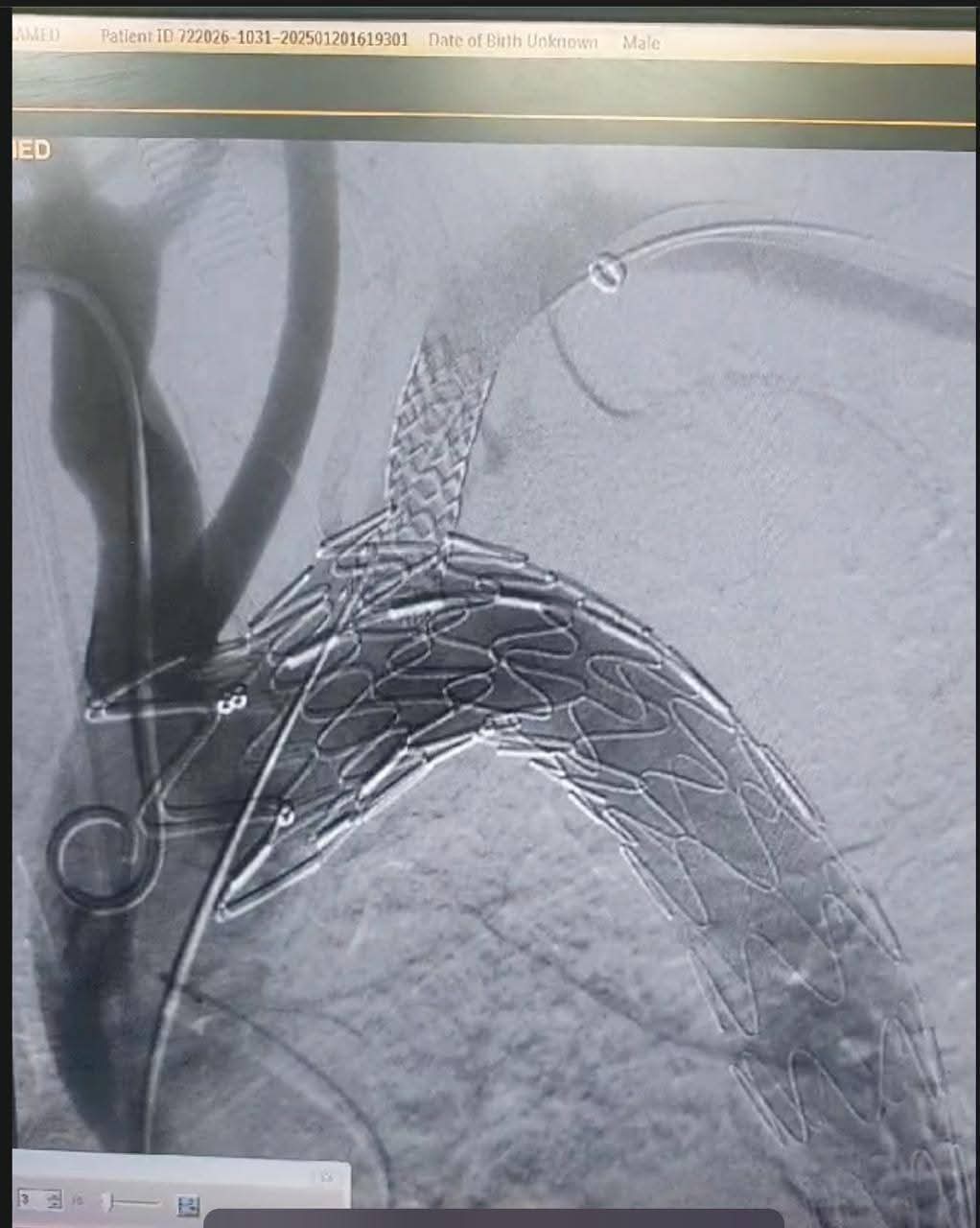
أجرى فريق أطباء قسم جراحة الأوعية الدموية بمستشفي مصر للطيران عملية إصلاح انشطار بالشريان الأورطي الصدري ممتد من الشريان تحت الترقوة الأيسر إلى شريان الحوض والفخذ الأيسر عن طريق استخدام الدعامات المغطاة Ankura™️ لتثبيت الشريان الأورطي الصدري واستعادة تدفق الدم الطبيعي.
وتم استخدام تقنية جديدة تحتاج الي مهارة ودقة عالية وللمرة الأولى في مستشفي مصر للطيران وهي عمل دعامة مغظاة فرعية لشريان الطرف العلوي الأيسر TEVAR + In situ fenestration for LSA + LSA stenting للحفاظ علي الدورة الدموية بالطرف العلوي الأيسر عن طريق عمل فتحة بالدعامة المغطاة بالشريان الأورطي الصدري باستخدام إبرة ( Futhrough™️ ) للحفاظ علي تدفق الدم بواسطة القسطرة التداخلية.







ونقدم لكم من خلال موقع (فيتو)، تغطية ورصدًا مستمرًّا على مدار الـ 24 ساعة لـ أسعار الذهب، أسعار اللحوم ، أسعار الدولار ، أسعار اليورو ، أسعار العملات ، أخبار الرياضة ، أخبار مصر، أخبار اقتصاد ، أخبار المحافظات ، أخبار السياسة، أخبار الحوداث ، ويقوم فريقنا بمتابعة حصرية لجميع الدوريات العالمية مثل الدوري الإنجليزي ، الدوري الإيطالي ، الدوري المصري، دوري أبطال أوروبا ، دوري أبطال أفريقيا ، دوري أبطال آسيا ، والأحداث الهامة و السياسة الخارجية والداخلية بالإضافة للنقل الحصري لـ أخبار الفن والعديد من الأنشطة الثقافية والأدبية.
تابع موقع فيتو عبر قناة (يوتيوب) اضغط هــــــــــــنا
تابع موقع فيتو عبر قناة (واتساب) اضغط هــــــــــــنا
تابع موقع فيتو عبر تطبيق (نبض) اضغط هــــــــــنا
تابع موقع فيتو عبر تطبيق (جوجل نيوز) اضغط هــــــــنا
