إنقاذ حياة كهربائي ابتلع مسمار واستقر بالقصبة الهوائية ببنها الجامعي
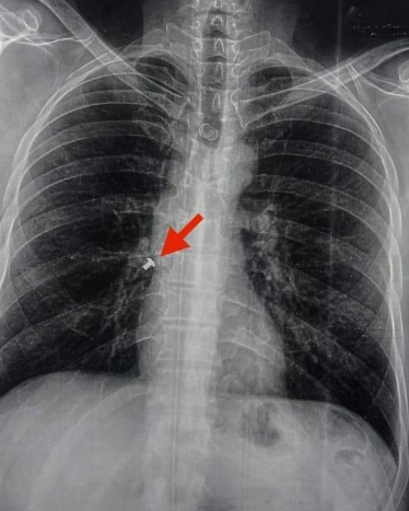
تمكن فريق طبي بمستشفى بنها الجامعي، برئاسة الدكتور محمد الجزار استاذ واستشاري طب مناظير وجراحة الصدر بطب بنها، من إنقاذ حياة كهربائي ابتلع مسمار أثناء تركيب كشاف سقف فاستقر في القصبة الهوائية مباشرة.
وأوضح الدكتور محمد الجزار، أن الجراحة تعد الأولى لاستخراج مسمار، من القصبة الهوائية لشاب وليس طفلا ويكون ابتلعه رغما عنه، مشيرا أن الشاب حالته مستقرة ويخضع للملاحظة داخل مستشفى بنها الجامعي.

بنها الجامعي تنقذ حياة شاب مصاب بطعنة في الصدر
في وقت سابق نجح فريق جراحي بقسم جراحة القلب والصدر بمستشفى بنها الجامعي بمحافظة القليوبية، في إنقاذ حياة شاب يبلغ من العمر 22 عاما، مصابا بطعنتين بالصدر من الأمام وعلاماته الحيوية غير مستقرة وفقد الكثير من دمه، وبمجرد دخوله إلى المستشفى توقف قلبه وتنفسه، حيث جرى على الفور عمل إنعاش قلبي رئوي، وتم إدخاله لغرفة العمليات واستدعاء فريق الطوارئ المسئول عن اليوم.

ـــــــــــــــــــــــــــــــــــــــــــــــــــــــــــــــــــــــــــــــــــــــــــــــــــــــــــــــــــــــــــــــــــــــــــــــــــــــــــــــــــــــــــــــــــــــــــــ
ونقدم لكم من خلال موقع (فيتو)، تغطية ورصدًا مستمرًّا على مدار الـ 24 ساعة لـ أسعار الذهب، أسعار اللحوم ، أسعار الدولار ، أسعار اليورو ، أسعار العملات ، أخبار الرياضة ، أخبار مصر، أخبار اقتصاد ، أخبار المحافظات ، أخبار السياسة، أخبار الحوداث ، ويقوم فريقنا بمتابعة حصرية لجميع الدوريات العالمية مثل الدوري الإنجليزي ، الدوري الإيطالي ، الدوري المصري، دوري أبطال أوروبا ، دوري أبطال أفريقيا ، دوري أبطال آسيا ، والأحداث الهامة و السياسة الخارجية والداخلية بالإضافة للنقل الحصري لـ أخبار الفن والعديد من الأنشطة الثقافية والأدبية.
