فريق طبي من جامعة الوادي الجديد ينجح في إنقاذ حياة مريضة بعملية بالقلب
نجح فريق طبي بقسم القلب بكلية الطب جامعة الوادي الجديد في إنقاذ حياة مريضة تبلغ من العمر 40 عاما، وذلك في إنجاز طبي لكلية الطب جامعة الوادي الجديد، بتوجيهات الدكتور عبد العزيز طنطاوي رئيس جامعة الوادي الجديد وبإشراف الدكتور حسن عبد اللطيف نائب رئيس الجامعة لشئون الدراسات العليا والبحوث والمشرف على كلية الطب.
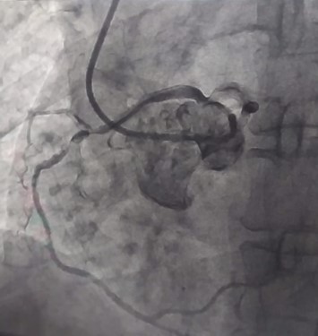
ووقام الفريق الطبى بقسم طب القلب والقسطرة والذي ضم الدكتور مؤمن لطفي مدرس طب القلب والأوعية الدموية والدكتور اسلام راشد مدرس مساعد بقسم القلب بإنقاذ حياة مريضة تبلغ من العمر 40 عاما، تعاني من وجود عيب خلقي في بداية غير طبيعية بالشريان التاجي الأيمن وتم عمل قسطرة علاجية بالتصوير التشخيصي للشريان الأيسر، وأمكن استخدام نفس القسطرة كقسطرة علاجية بعد أن قام الفريق المعالج بإجراء تعديلات لتركيب الدعامة في الشريان الايمن وتم إنقاذ حياة المريضة بنجاح.
وفور نجاح العملية تقدم الأستاذ الدكتور عبد العزيز طنطاوي رئيس جامعة الوادي الجديد، بتهنئة الفريق الطبي بقسم طب القلب والقسطرة بكلية الطب لنجاحه في إجراء هذه العملية الجراحية؛ مشيدًا بكفاءة وتميز الكوادر بكلية الطب جامعة الوادي الجديد، واستعدادها لاستقبال جميع الحالات المرضية، والتعامل معها مؤكدا ان ذلك يأتي في إطار حرص الجامعة على دعم كلية الطب، وتعظيم دورها الحيوي في تقديم خدمة طبية على مستوى عال من الحرفية والمهارة، وباستخدام التقنيات الحديثة لخدمة المرضى المترددين عليها.
ويأتي ذلك في إطار حرص كلية الطب جامعة الوادي الجديد على النهوض بالمنظومة الصحية والارتقاء بمستوى الخدمات الطبية المُقدمة للمواطنين.


ونقدم لكم من خلال موقع (فيتو)، تغطية ورصدًا مستمرًّا على مدار الـ 24 ساعة لـ أسعار الذهب، أسعار اللحوم ، أسعار الدولار ، أسعار اليورو ، أسعار العملات ، أخبار الرياضة ، أخبار مصر، أخبار اقتصاد ، أخبار المحافظات ، أخبار السياسة، أخبار الحوداث ، ويقوم فريقنا بمتابعة حصرية لجميع الدوريات العالمية مثل الدوري الإنجليزي ، الدوري الإيطالي ، الدوري المصري، دوري أبطال أوروبا ، دوري أبطال أفريقيا ، دوري أبطال آسيا ، والأحداث الهامة و السياسة الخارجية والداخلية بالإضافة للنقل الحصري لـ أخبار الفن والعديد من الأنشطة الثقافية والأدبية.
