تحسن الحالة الصحية لمريض بنها الجامعي بعد استخراج إبرة تنجيد من ظهره
أكد الدكتور محمد الجزار استشاري جراحة القلب والصدر بمستشفى بنها الجامعي وقائد فريق جراحي نجح في إنقاذ حياة مريض وإستخراج إبرة تنجيد من ظهره بعد ان ظلت عامين داخل جسده، تحسن حالة المريض ومغادرته المستشفي بصحة جيدة عقب إنتهاء فترة النقاهه والمتابعة عقب الجراحة.
واشار الى أن المريض حتي الأن لايعرف كيفية دخول الأبرة لجسده منذ سنتين وان المدة تم تحديدها من بدء ظهور الأعراض عليه.
وأوضح الدكتور محمد الجزار إستشاري القلب والصدر ببنها الجامعي في تصريحات صحفية له اليوم ان المريض ظل عامين يعاني من مشكلة وشكشكه في ظهره وعنده عرضه علي الأطباء ويتم تحديد الحل في الجراحة يتهرب ولايكمل الجراحة حيث زاد الألم عليه في الفترة الاخيرة فكان القرار بإجراء الجراحة.
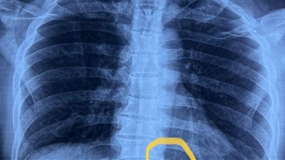
وأضاف الجزار ان خطورة وصعوبة الجراحة في هذه الحالة تمثلت في وجود الابرة في الظهر مما يستدعي قلب المريض علي بطنه بعد تخديره وهو امر صعب وخطير وطبيا والصعوبة الثانية في عدم معرفة مكان الابرة بالضبط في الجسم مما تتطلب إستخدام جهاز اشعه داخل غرفة العمليات مما سهل تحديد المكان وإستخراجها علي هيئة قطع بسبب تعرضها للصدأ.
وأشار الجزار الى ان المريض يدعي حمادة م ا من جزيرة بلي مركز بنها كان يرفض اي تدخل جراحي لخوفة من الجراحة حيث أكد لنه لايعرف كيف دخلت الأبرة لجسمه ولكن الاعراض ظهرت عليه من سنتين وزادت في الفترة الاخيرة حيث تقررت الجراحة رغم رفضه وإعتباره الحديث والسؤال عن الحالة من باب التهكم لدرجة انه قبيل التخدير كان سيلغي الجراحة عندما تم سؤاله عن أحد تفاصيل الحالة ولكن اجريت الجراحة وغادر المستشفي.
وكان فريق جراحي بمستشفى بنها الجامعي بمحافظة القليوبية بقيادة الدكتور محمد أحمد الجزار استشاري جراحة القلب والصدر بمستشفى بنها الجامعي قد نجح فى استخراج إبرة تنجيد دخلت عن طريق الخطأ فى ظهر مريض خلف القفص الصدري مباشرةوالتى ظلت بمكانها مدة عامين حيث جري إجراء جراحة بفتح جراحي صغير 3 سم، استخراج إبرة تنجيد دخلت بطريق الخطأ فى ظهر مريض خلف القفص الصدرى مباشرة حيث تركها المريض لمدة سنتين خوفا من إجراء العملي.
ووفق بيان المستشفي فقد جري حجز المريض بالقسم وتجهيزه لعملية سريعة، تم فيها الاستعانة بجهاز الأشعة الملحق بغرف العمليات (C-arm)، حيث تم تحديد مكان الإبرة والفتح الجراحي عليها مباشرة، واستخراجها بنجاح،ولكن علي هيئة قطع منكسرة بسبب الصدأ، نظرا لبقائها طوال هذه المدة.
وقام بإجراء الجراحة الدكتور محمد الجزار أستاذ جراحة القلب والصدر، والدكتورة فاطمة محمود طبيب مقيم جراحة القلب والصدر، وأخصائية التخدير الدكتورة نعمة محمد، تحت إشراف الدكتور محمد أبو النصر مدير العمليات الموحدة بالمستشفيات الجامعية لتنسيقه ودعمه وتيسير العقبات من أجل إجراء هذه الجراحة
