بأحدث التقنيات.. بنها الجامعي تنقذ حياة مسنة مصابة بورم
تمكن فريق طبي بمستشفي بنها الجامعي من إنقاذ مريضة مسنة 60 عاما بإستئصال ورم منتشر في الصدر بتفنية الفتحة الواحدة والتي تعد من احدث التقنيات العالمية في مجال جراحة الصدر وتستخدمها المستشفي في إطار تطوير الجراحات بالمستشفي ضمن خطة تطوير الاداء ورفع كفاءة الجراحات المتخصصة داخل الأقسام الطبية بمستشفيات جامعة بنها.
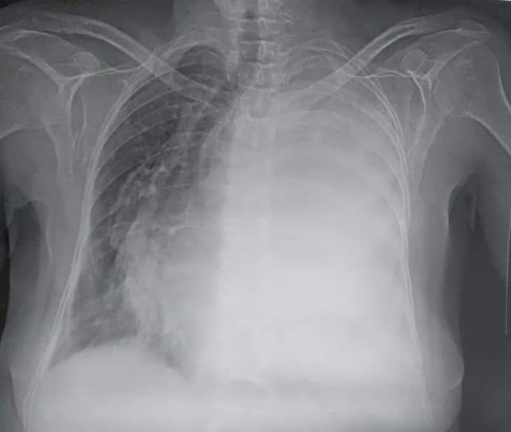
قال الدكتور محمد احمد الجزار إستشاري جراحة القلب والصدر في تصريحات صحفية اليوم بمستشفي بنها الجامعي ان الحالة كانت لمريضة تبلغ من العمر ٦٠ سنة كانت تعاني من ضيق بالتنفس ونهجان لأقل مجهود وبعد الفحوصات والاشعات تم اكتشاف وجود انسكاب بللوري شديد علي الرئة اليسري أدي إلي انضغاط الرئة اليسري ودفع القلب والقصبة الهوائية للجهة الأخري (اليمني).
أضاف الجزار انه تم تجهيز المريضة للعمليات اليوم وتم عمل منظار تجويف الصدر الجراحي بفتحة واحدة وهي من احدث التقنيات العالمية في مجال جراحة الصدر حاليا وتتوافر لدي مستشفي جامعة بنها في عمليات قسم جراحة القلب والصدر تحت إشراف الدكتور عمرو الدخاخني المدير التنفيذي للمستشفي .
وجري شفط كل السوائل المتجمعة في الغشاء البللوري وبينت الكاميرا المصاحبة للمنظار وجود اشتباه لورم منتشر بالقفص الصدري حيث تم استئصال أجزاء كثيرة منه وارسالها لمعمل تحاليل الباثولوجي الكشف المبكر عن الأورام بكلية طب بنها وذلك لاستكمال التشخيص


ترأس الفريق الطبي الدكتور محمد أحمد الجزار استشارى جراحة القلب والصدر بمستشفى بنها الجامعي والدكتور أشرف مصطفي النحاس بمعاونة الاطباء محمود عبد العظيم المدرس المساعد بالقسم والطبيبة المقيمة سارة نبيل وقام بالتخدير الدكتورة جينا الشحات والدكتورة مي شفيق بمشاركة فريق التمريض والتمريض مسترعبد الله فارس وانتصار علي وايمان عفت
