يعالج ضعف عضلة القلب.. جمال شعبان يكشف عن جهاز يمنع الموت المفاجئ
كشف الدكتور جمال شعبان، العميد السابق لمعهد القلب، عن جهاز وصفه بالمعجزة، وهو الجهاز الكهربي الثلاثي CRTD، مؤكدًا أن الجهاز ذكي جدا، ويعتبر عناية مركزة متنقلة، يمنع الموت المفاجئ في حالة تباطؤ القلب لو كهرباء القلب الطبيعية ضعفت، حيث يعمل الجهاز على ربط كهربي وتناسق لكل حجرات القلب فتتحسن حالة القلب الانقباضية، وضعف عضلة القلب والحالات المتأخرة.
جهاز يمنع الموت المفاجئ
وكتب جمال شعبان تدوينة على الفيس بوك "كلنا بنسمع عن ضعف عضلة القلب والحالات المتأخرة زي الحالة دي اللي فيها نهجان شديد وتورم في الجسم وعدم استجابة الادوية وعرضة الذبذبة البطينية واختلال كهربا القلب والموت المفاجيء"

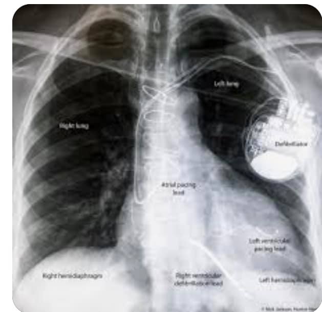
وقال جمال شعبان "رسم القلب بيوضح لسداد في حزمة الكهربا اليسري وكفاءة البطين الأيسر أقل من ٣٠%.. الحالات دي بنزرع فيها الجهاز الكهربي الثلاثي دا CRTD، الجهاز دا بإذن الله معجزة، زي مانتم شايفين في الصورة بطارية طالع منها ٣ كابلات دقيقة"

وتابع شعبان "زراعة الكابلات جوًا القلب لازم تبقي في نقط معينة وبتحتاج دقة رهيبة ومهارة عالية وتوفيق كبير من ربنا، واحد في الأذين الأيمن واحد في البطين الأيمن اللي طرفه عريض، ودا الكابل اللي بينقل الصدمة الكهربية واحد في الوريد الجيبي لتحفيز البطين الأيسر"
الجهاز عناية متنقلة
وعن الجهاز قال "الجهاز دا ذكي جدا عناية مركزة متنقلة بيعرف يقرا رسم القلب.. ويتعامل مع الرسم الخطير اللي بيعمل سكتة قلبية وبيدي المريض صدمة كهربية اتوماتيكية عند الضرورة لانقاذ حياته"

وقال "الجهاز دا بيعمل ربط كهربي وتناسق لكل حجرات القلب فتتحسن حالة القلب الانقباضية ويمنع تباطؤ القلب لو كهربا القلب الطبيعية ضعفت وفي نفس الوقت بيمنع بإذن الله الموت المفاجيء"
اعتلال عضلة القلب
الجدير بالذكر أن ضعف عضلة القلب يُعرف بعدم قدرة القلب على ضخ الدم إلى باقي أنحاء الجسم، وضعف عضلة القلب واعتلالها هو مرض تدريجي يحدث في عضلة القلب، بحيث تصبح تلك العضلة غير قادرة على ضخ الدم إلى بقية الجسم كما ينبغي.

وهناك العديد من الأنواع المختلفة من اعتلال عضلة القلب، الناجم عن مجموعة من العوامل، ويمكن أن يؤدي ذلك إلى عدم انتظام ضربات القلب أو فشل القلب أو مشكلة في صمام القلب أو مضاعفات أخرى.
لذا يعد علاج ضعف عضلة القلب ومتابعة الرعاية أمر مهم للغاية، للحد من المضاعفات، التي قد تؤدي الموت المفاجيء.
