شبكية العين.. عضو جديد يضاف لقائمة ضحايا "كوفيد -19"
قائمة الأمراض التي تسببها عدوى فيروس كورونا المستجد، المسبب لـ "كوفيد -19"، آخذة في الازدياد وتشمل الآن شبكية العين، وهو ما اقترحته دراسة مستقبلية أجرتها مستشفيات جامعة جنيف، بالتعاون مع مركز "أدولف دي روتشيلد" للبحوث السريرية لطب العيون.
ويكشف هذا البحث المنشور الثلاثاء في مجلة الطب السريري، أن 11٪ من الأشخاص الذين يدخلون المستشفى بسبب ضائقة تنفسية بسبب مرض "كوفيد -19" يعانون من تلف الشبكية.

ومنذ الموجة الوبائية الأولى للفيروس لاحظ العلماء والأطباء تلفًا في الجهاز العصبي والأوعية الدموية لدى الأفراد المصابين، ونظرًا لأن شبكية العين جزءا من الجهاز العصبي وتوفر مسار مراقبة مباشرًا وغير جراحي للأوعية، فقد أجرى الباحثون فحوصات قاع العين على 172 من المرضى الذين يعانون من الالتهاب الرئوي الناتج عن "كوفيد -19" ويخضعون للعلاج بالأكسجين.
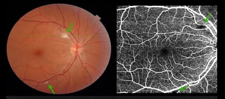
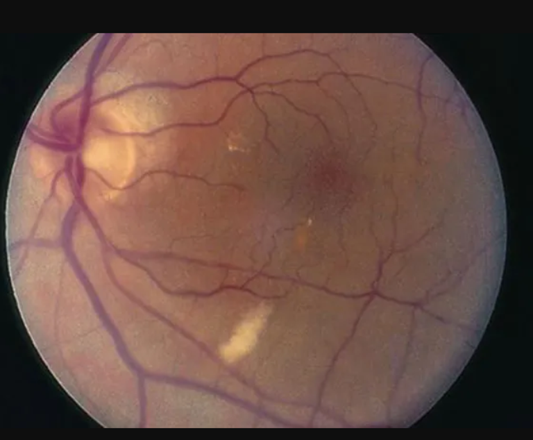
وأجرى فريق البحث هذه الفحوصات باستخدام كاميرا تصور الشبكية دون اتساع حدقة العين، وكشفت هذه الفحوصات عن بقع بيضاء على شبكية العين في 11٪ من الحالات.

وتُعرف هذه البقع باسم بقع الصوف القطني، وهي علامات على معاناة شبكية ثانوية لانسداد الشريان الصغير، وويمكن أن تكون ناجمة عن انسداد أو التهاب في الأوعية الشبكية، حيث يؤدي التهاب الأوعية الدموية إلى إعاقة الدورة الدموية وربما نقص الأكسجين.
وقال الدكتور جوردانا سوناريك ميجيفاند، المدير الطبي لمركز أدولف دي روتشيلد للبحوث السريرية لطب العيون والمؤلف المشارك بالدراسة، إن هذه المشكلة تظهر في الغالب في الأشخاص المصابين بمرض السكري أو ارتفاع ضغط الدم، ولكن كانت المفاجأة أن ما يقرب من 64٪ من المرضى الذين يعانون من تشوهات الشبكية لم يكونوا مصابين بالسكري من قبل.
وينطبق الشيء نفسه على ارتفاع ضغط الدم حيث إن ما يقرب من 90٪ من المرضى الذين يعانون من تلف الشبكية ليس لديهم تاريخ من ارتفاع ضغط الدم لتفسير هذه الظاهرة.
وقال الدكتور كريستوف مارتي، الباحث المشارك في الدراسة: "نتائجنا تشير إلى حدوث تغيير في شبكية العين بشكل رئيسي بسبب العدوى الفيروسية".
ولم تبحث الدراسة في أسباب هذه الإصابات العابرة للشبكية، ومع ذلك، يعتقد فريق البحث أن 3 آليات مختلفة يمكن أن تفسرها، وهي أولًا، يمكن أن يتسبب تلف الأنسجة المباشر عن طريق تسلل الفيروس إلى الخلايا البطانية للأوعية في حدوث التهاب وانسداد الأوعية الدموية، والتفسير الثاني هو الانسداد المحتمل للشرايين الشبكية الناجم عن حالة فرط التخثر فيما يتعلق بترسب جلطات الفيبرين التي لوحظت في العديد من الدراسات مع (كوفيد -19).
وتشير الفرضية الأخيرة إلى أن بقع الصوف القطنية تحدث نتيجة نقص الأوكسجين المرتبط بضيق التنفس الحاد عند الأشخاص الخاضعين للدراسة أو ارتفاع ضغط الدم الذي يُلاحظ عادةً في المرحلة المبكرة من مرض "كوفيد -19".
